- 您的位置:
- 标准下载网 >>
- 标准分类 >>
- 机械行业标准(JB) >>
- JB/T 9205-2008 珠光体球墨铸铁零件感应淬火金相检验
标准号:
JB/T 9205-2008
标准名称:
珠光体球墨铸铁零件感应淬火金相检验
标准类别:
机械行业标准(JB)
标准状态:
现行-
发布日期:
2008-06-04 -
实施日期:
2008-11-01 出版语种:
简体中文下载格式:
.rar.pdf下载大小:
3.40 MB
替代情况:
替代JB/T 9205-1999
点击下载
标准简介:
标准下载解压密码:www.bzxz.net
本标准规定了球光体球墨铸零件感应淬火金相检验的技术要求及相应的检验方法。适用于球光体体积系数不低于75%的球墨铸铁零件经高、中频感应淬火低温回火(回火温度≤200℃)后的硬化层金相组织及硬化层深度的检验。 JB/T 9205-2008 珠光体球墨铸铁零件感应淬火金相检验 JB/T9205-2008
部分标准内容:
ICS25.200
备案号:24504—2008
中华人民共和国机械行业标准
JB/T9205-2008
代替JB/T9205—1999
珠光体球墨铸铁零件感应淬火金相检验Metallographic examination of pearlitic graphite cast iron partsinduction hardened
2008-06-04发布
2008-11-01实施
中华人民共和国国家发展和改革委员会发布前言.
规范性引用文件
术语和定义
技术要求..
试样的制备
检验方法.
珠光体球墨铸铁零件感应淬火组织评级图(×400)图1
硬化层深度测量标准图(×100)硬化层显微组织分级说明。
JB/T9205--2008
JB/T9205—2008
本标准代替JB/T9205一1999《珠光体球墨铸铁零件感应淬火金相检验》。本标准与JB/T9205一1999相比,主要变化如下:规范并标出了封面的各种信息;调整并填充了“前言”中的相关要素;增加了“规范性引用文件”一章;核准了原标准的“定义”,完善了该章的标题及相关要素,删除了“硬化层深度”词条;调整了“3、4、5”章节的序号(见修改后标准的第4、5、6章);原标准将《珠光体球墨铸铁零件感应淬火组织评级图》分为1级~8级,分别用“图1~图8”8个图号表示,并没有给出图题。修订后的标准将《珠光体球墨铸铁零件感应淬火组织评级图》为图1,图号分别为“a)~h)”(见3.3、表1);将原标准的“图9硬化层深度测量标准图”改为“图2硬化层深度测量标准图”。本标准由中国机械工业联合会提出。本标准由全国热处理标准化技术委员会(SAC/TC75)归口。本标准主要起草单位:北京机电研究所、东风汽车公司工艺研究所。本标准主要起草人:武兵书、万光有、张平。本标准所代替标准的历次版本发布情况:ZBJ36010—1988;
JB/T9205—1999。
1范围
珠光体球墨铸铁零件感应火金相检验JB/T9205—2008
本标准规定了珠光体球墨铸铁零件感应萍火金相检验的技术要求及相应的检验方法。适用于珠光体体积系数不低于75%的球墨铸铁零件经高、中频感应淬火低温回火(回火温度≤200℃)后的硬化层金相组织及硬化层深度的检验。
2规范性引用文件
下列文件中的条款通过本标准的引用而成为本标准的条款。凡是注日期的引用文件,其随后所有的修改单(不包括勘误的内容)或修订版均不适用于本标准,然而,鼓励根据本标准达成协议的各方研究是否可使用这些文件的最新版本。凡是不注日期的引用文件,其最新版本适用于本标准。GB/T7232金属热处理工艺术语
3术语和定义
GB/T7232中确立的及下列术语和定义适用于本标准。3.1
界限显微组织delimitationmicrostructure用面积分数20%珠光体为界限组织。特殊情况时经有关各方协商,也可采用其他界限组织。4技术要求
零件的表面便度及硬化层深度应符合产品图样的要求。4.2
零件经高、中频感应淬火后,表面不充许有率火裂纹、灼伤等缺陷。A3
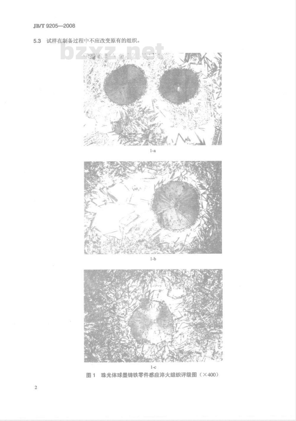
诞化层的显微组织按珠光体球墨铸铁零件感应率火组织评级图进有对照评定(见图1)。砸化层显微纽级分级说明见表1,其中3级6级为合格。有特殊要求时,按有关技本文件规定执行。丰车确化育显微组织分级说明
组织转征
粗马氏体、大块状残留臭氏体、莱氏体、球状石幽粗马氏体、大块状残留奥氏体、球状石墨马氏体、块状残留奥氏体、球状石堂马氏体、少量残留奥氏体、球状石墨细马氏体、球状石墨
细马氏体、少量未溶铁素体、球状石墨微细马氏体、少量未溶珠光体、未溶铁素体、球状石墨微细马氏体、较多量未溶珠光体、未溶铁素体、球状石验5试样的制备
5.1取样:在零件感应淬火区中部按零件技术条件规定的位置截取。图号
5.2试样的抛光面应与表面直,用2%~5%硝酸酒精滑液浸蚀,产到显示出清晰的硬化层为止。JB/T9205—2008
5.3试样在制备过程中不应改变原有的组织。1-b
图1珠光体球墨铸铁零件感应淬火组织评级图(×400)2
1(续)bZxz.net
JB/T9205-—2008
JB/T9205-2008
6检验方法
图1(续)
硬化层显微组织在金相显微镜下放大400倍观察。硬化层的深度在金相显微镜下放大100倍测量(见图2)。6.2
图2硬化层深度测量标准图(×100)JB/T9205—2008
中华人民共和国
机械行业标准
珠光体球墨铸铁零件感应淬火金相检验JB/T9205—2008
机械工业出版社出版发行
北京市百万庄大街22号
邮政编码:100037
210mm×297mm·0.5印张·15千字2008年11月第1版第1次印刷
书号:15111·9292
网址:http://www.cmpbook.com编辑部电话:
(010)88379778
(010)88379693
直销中心电话:
封面无防伪标均为盗版
版权专有
侵权必究
小提示:此标准内容仅展示完整标准里的部分截取内容,若需要完整标准请到上方自行免费下载完整标准文档。
备案号:24504—2008
中华人民共和国机械行业标准
JB/T9205-2008
代替JB/T9205—1999
珠光体球墨铸铁零件感应淬火金相检验Metallographic examination of pearlitic graphite cast iron partsinduction hardened
2008-06-04发布
2008-11-01实施
中华人民共和国国家发展和改革委员会发布前言.
规范性引用文件
术语和定义
技术要求..
试样的制备
检验方法.
珠光体球墨铸铁零件感应淬火组织评级图(×400)图1
硬化层深度测量标准图(×100)硬化层显微组织分级说明。
JB/T9205--2008
JB/T9205—2008
本标准代替JB/T9205一1999《珠光体球墨铸铁零件感应淬火金相检验》。本标准与JB/T9205一1999相比,主要变化如下:规范并标出了封面的各种信息;调整并填充了“前言”中的相关要素;增加了“规范性引用文件”一章;核准了原标准的“定义”,完善了该章的标题及相关要素,删除了“硬化层深度”词条;调整了“3、4、5”章节的序号(见修改后标准的第4、5、6章);原标准将《珠光体球墨铸铁零件感应淬火组织评级图》分为1级~8级,分别用“图1~图8”8个图号表示,并没有给出图题。修订后的标准将《珠光体球墨铸铁零件感应淬火组织评级图》为图1,图号分别为“a)~h)”(见3.3、表1);将原标准的“图9硬化层深度测量标准图”改为“图2硬化层深度测量标准图”。本标准由中国机械工业联合会提出。本标准由全国热处理标准化技术委员会(SAC/TC75)归口。本标准主要起草单位:北京机电研究所、东风汽车公司工艺研究所。本标准主要起草人:武兵书、万光有、张平。本标准所代替标准的历次版本发布情况:ZBJ36010—1988;
JB/T9205—1999。
1范围
珠光体球墨铸铁零件感应火金相检验JB/T9205—2008
本标准规定了珠光体球墨铸铁零件感应萍火金相检验的技术要求及相应的检验方法。适用于珠光体体积系数不低于75%的球墨铸铁零件经高、中频感应淬火低温回火(回火温度≤200℃)后的硬化层金相组织及硬化层深度的检验。
2规范性引用文件
下列文件中的条款通过本标准的引用而成为本标准的条款。凡是注日期的引用文件,其随后所有的修改单(不包括勘误的内容)或修订版均不适用于本标准,然而,鼓励根据本标准达成协议的各方研究是否可使用这些文件的最新版本。凡是不注日期的引用文件,其最新版本适用于本标准。GB/T7232金属热处理工艺术语
3术语和定义
GB/T7232中确立的及下列术语和定义适用于本标准。3.1
界限显微组织delimitationmicrostructure用面积分数20%珠光体为界限组织。特殊情况时经有关各方协商,也可采用其他界限组织。4技术要求
零件的表面便度及硬化层深度应符合产品图样的要求。4.2
零件经高、中频感应淬火后,表面不充许有率火裂纹、灼伤等缺陷。A3
诞化层的显微组织按珠光体球墨铸铁零件感应率火组织评级图进有对照评定(见图1)。砸化层显微纽级分级说明见表1,其中3级6级为合格。有特殊要求时,按有关技本文件规定执行。丰车确化育显微组织分级说明
组织转征
粗马氏体、大块状残留臭氏体、莱氏体、球状石幽粗马氏体、大块状残留奥氏体、球状石墨马氏体、块状残留奥氏体、球状石堂马氏体、少量残留奥氏体、球状石墨细马氏体、球状石墨
细马氏体、少量未溶铁素体、球状石墨微细马氏体、少量未溶珠光体、未溶铁素体、球状石墨微细马氏体、较多量未溶珠光体、未溶铁素体、球状石验5试样的制备
5.1取样:在零件感应淬火区中部按零件技术条件规定的位置截取。图号
5.2试样的抛光面应与表面直,用2%~5%硝酸酒精滑液浸蚀,产到显示出清晰的硬化层为止。JB/T9205—2008
5.3试样在制备过程中不应改变原有的组织。1-b
图1珠光体球墨铸铁零件感应淬火组织评级图(×400)2
1(续)bZxz.net
JB/T9205-—2008
JB/T9205-2008
6检验方法
图1(续)
硬化层显微组织在金相显微镜下放大400倍观察。硬化层的深度在金相显微镜下放大100倍测量(见图2)。6.2
图2硬化层深度测量标准图(×100)JB/T9205—2008
中华人民共和国
机械行业标准
珠光体球墨铸铁零件感应淬火金相检验JB/T9205—2008
机械工业出版社出版发行
北京市百万庄大街22号
邮政编码:100037
210mm×297mm·0.5印张·15千字2008年11月第1版第1次印刷
书号:15111·9292
网址:http://www.cmpbook.com编辑部电话:
(010)88379778
(010)88379693
直销中心电话:
封面无防伪标均为盗版
版权专有
侵权必究
小提示:此标准内容仅展示完整标准里的部分截取内容,若需要完整标准请到上方自行免费下载完整标准文档。
标准图片预览:





- 其它标准
- 热门标准
- 机械行业标准(JB)
- JB/T7940.3-1995 旋盖式油杯
- JB/T7893.1-1999 立式振动离心机
- JB/T7899-1999 填充聚四氟乙烯软带导轨 技术条件
- JB/T7938-1999 液压泵站油箱公称容量系列
- JB/T7850-1995 手夹快换接头
- JB/T7952-1995 空气净化器
- JB/T8009.4-1999 机床夹具零件及部件 弧形压块
- JB/T1625-2002 工业锅炉焊接管孔
- JB/T7936-1999 直廓环面蜗杆减速器
- JB/T7939-1999 单活塞杆液压缸两腔面积比
- JB/T7941.2-1995 旋入式圆形油杯
- JB/T7948.11-1999 熔炼焊剂化学分析方法 燃烧-碘量法测定硫量
- JB/T7925.2-1995 滑动轴承 多层轴承减摩合金硬度检验方法
- JB/T7946.2-1999 铸造铝硅合金过烧
- JB/T6375-1992 气动阀用橡胶密封圈 尺寸系列和公差
- 行业新闻
请牢记:“bzxz.net”即是“标准下载”四个汉字汉语拼音首字母与国际顶级域名“.net”的组合。 ©2025 标准下载网 www.bzxz.net 本站邮件:bzxznet@163.com
网站备案号:湘ICP备2025141790号-2
网站备案号:湘ICP备2025141790号-2